Smile design – A brief overview

Smile design – A brief overview

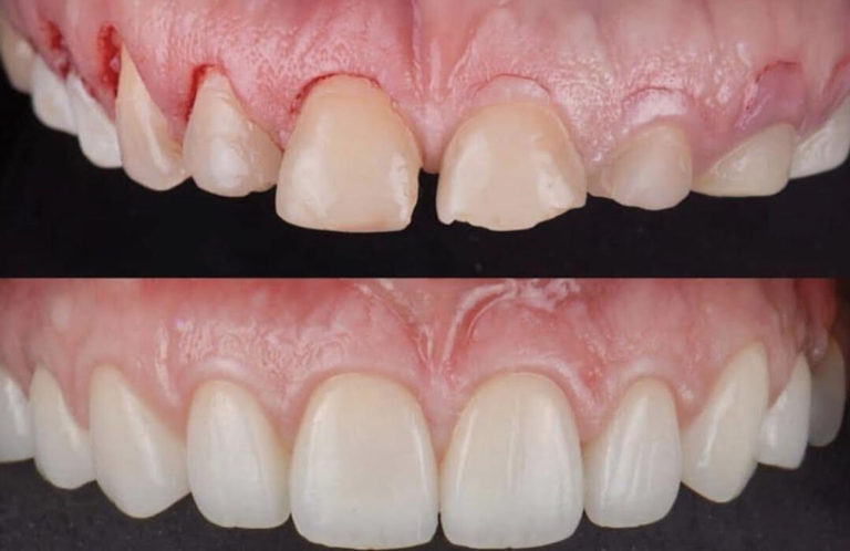
Smile design is the process of creating a beautiful and natural-looking smile that enhances a person’s overall appearance. The goal of smile design is to create a smile that is aesthetically pleasing and functional, while taking into consideration the person’s facial features, skin tone, and tooth color. Smile design can involve a variety of cosmetic

Oral health – Small but an important part of an overall healthy body

Oral health – Small but an important part of an overall healthy body

Oral health is an integral part of our overall health, and it’s essential to take care of our teeth and gums to maintain good health. Poor oral health can lead to a range of health problems, such as infections, inflammation, and chronic diseases. On the other hand, maintaining good oral health can contribute to a

Common causes of tooth pain

Common causes of tooth pain

Tooth pain is a common problem that can range from mild discomfort to severe agony. It can be caused by a variety of factors, including cavities, gum disease, injury, and infections. Understanding the most common causes of tooth pain can help you take steps to prevent it and seek prompt treatment if necessary. Cavities Cavities,

PPO Dental Insurance Accepted

PPO Dental Insurance Accepted

Fuller Smiles Long Beach strives to educate you better and guide you in planning for your teeth using technology embedded in our day-to-day procedures in a comfortable and relaxed setting. Better communication and planning make Fuller Smiles the best dentist in Long Beach, providing dentistry that is painless, effective, and efficient. Good news – PPO

Free Laser Teeth Whitening with Your Exam and Cleaning

Free Laser Teeth Whitening with Your Exam and Cleaning

Fuller Smiles Long Beach strives to educate you better and guide you in planning for your teeth using technology embedded in our day-to-day procedures in a comfortable and relaxed setting. Better communication and planning make Fuller Smiles the best dentist in Long Beach, providing dentistry that is painless, effective, and efficient. Now, you can get

Best Dentist in Long Beach

Best Dentist in Long Beach

Fuller Smiles Long Beach strives to educate you better and guide you in planning for your teeth using technology embedded in our day-to-day procedures in a comfortable and relaxed setting. Better communication and planning make Fuller Smiles the best dentist in Long Beach, providing dentistry that is painless, effective, and efficient. Our Core Services You